Why Should I Bring my Pet to Willows for Investigation and Management of Epilepsy?
Willows is one of Europe’s leading small animal referral centres. Our state-of-the-art hospital is led by internationally renowned Specialists, committed to providing the highest standards of veterinary care. Our Specialist Neurosurgeons are supported by our multi-disciplinary team of Specialists across a number of different disciplines including; Anaesthesia, Diagnostic Imaging and Emergency and Critical Care.
Willows has a large dedicated team of Vets, Nurses and clinical support staff available 24 hours a day, every day of the year to provide the best possible care for your pet. This combination of exceptional facilities and expertise allows Willows to provide the most accurate diagnosis and optimal care for any patient with epilepsy.
What is a Seizure and What Does Epilepsy Mean?
A seizure is a manifestation resulting from uncontrolled electrical activity in the brain. A seizure can be caused by many conditions upsetting the brain either within or outside of the brain. Epilepsy is described as the tendency to have recurrent seizures. A patient having a single seizure does not have epilepsy.
What are the Most Common Causes of Seizure?
A seizure can be caused by an imbalance in the blood or a toxin (this is known as a reactive seizure). It can be seen with low glucose level, liver disease or the ingestion of toxins such as a slug pallet toxicity.
A seizure can be caused by a disease affecting the brain such as an inflammation or infection, a stroke or a brain tumour. The age when seizures begin, the neurological examination and test results (i.e. blood tests, genetic testing, MRI scan and possible spinal fluid analysis) are important steps to identify a possible underlying cause of the seizures. This will help to decide the best possible treatment for your pet.
If an underlying cause cannot be identified, a diagnosis of idiopathic or primary epilepsy is made. In such cases a genetic cause is suspected with some breeds being more commonly affected then others (i.e. Border Collie, Italian Spinone, German Shepherd, Labrador amongst others).
Fig 1: MRI scans of a dog with a normal brain
How is Epilepsy Diagnosed?
Idiopathic epilepsy is diagnosed through the exclusion all the other causes. It is important to rule-out underlying conditions as a satisfactory treatment can only be achieved if a correct diagnosis has been made. Where possible it can also be very useful to provide video footage of the seizure which can be reviewed in the consultation and can help to establish that the episode is compatible with an epileptic seizure, as some other conditions can mimic a seizure.
Depending on the assessment of your pet, the decision may be made to perform investigations such as an MRI scan of the brain, performed under general anaesthesia and reviewed by our team of Specialists in Diagnostic Imaging. This ensures that the procedure is as safe as possible and that the scan can be truly tailored to the need of your pet. A spinal fluid sampling may be performed by a Specialist Neurologist following the MRI scan.
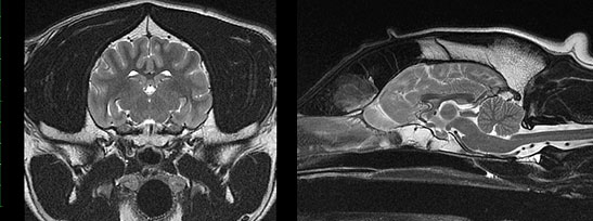
Fig 2: MRI scans of a dog with a brain tumour (shown as a white mass to the lower left hemisphere)
Can you Treat Idiopathic Epilepsy?
Idiopathic epilepsy vary greatly in the severity and the frequency of the seizures; from very few a year, to several a week and from a mild twitch or head nodding to generalised tonic clonic seizures.
Depending on the frequency and severity of the seizures, possible associated conditions and constraint in administering the treatment, our Specialists will be able to discuss with you the best treatment for your pet. Sometimes no medical treatment will be recommended however most dogs with idiopathic epilepsy will be treated with one anti-epileptic drug. In some instances it is necessary to use a combination of drugs to achieve a satisfactory seizure control. In very rare cases more invasive procedures can be performed (surgery, nerve –stimulator).
The Epilepsy Clinic
Epilepsy is a common problem in dogs and cats, and can be very distressing for patients and owners. In some animals an underlying cause of the condition can be identified, such as inflammation of the brain, a malformation or even brain tumours, but in many patients the condition is termed ‘idiopathic’ when no obvious underlying cause can be identified.
With the correct investigations and treatment epilepsy can be treated very successfully and animals can enjoy an excellent quality of life. Willows Specialist-led Neurology team has built a huge wealth of experience and expertise over the years, and are fully supported by a truly multi-disciplinary team in our state-of-the-art hospital.
- Specialist-led Neurology team with a wealth of experience in the investigation and management of epilepsy
- Comprehensive investigation of patients using our state-of-the-art diagnostic systems
- 1.5T on-site MRI scanner including 3D high resolution images
- Cerebrospinal fluid analysis
- Haematology, serum biochemistry, serology, DNA testing
- Support from Specialist Diagnostic Imaging and Anaesthesia teams
- 24 hour Veterinary and Nursing care
- Superb ICU facilities for critical patients and emergency seizure management
- Patient-specific treatment plans reviewed and adjusted as required
- Urgent and emergency cases seen as a priority
- Rapid reporting on all cases seen.
We are able to optimise success rates in the treatment of canine and feline epilepsy thanks to our; Neurologists’ experience and expertise, state-of-the-art diagnostic facilities, true multi-specialty approach with support from Specialists in Diagnostic Imaging and Anaesthesia, and our hospitalisation facilities and intensive care unit which are staffed 24 hours a day, every day of the year.
What can I Expect if my Dog is Treated for Epilepsy?
The aim of an anti-epileptic treatment is not to cure but to reduce the severity and frequency of the seizures with manageable side effects. The side effects can be temporary or long lasting depending on the drug chosen and this will be discussed with the Neurology Specialist.
Depending on whether or not an underlying cause has been identified, other treatments might be used in association with the anti-epileptic treatment. It is important to know that most dogs with idiopathic epilepsy have good quality of life with approximately 70 -80% responding well to the treatment. Some patients and some breeds (i.e. Border Collies) can be harder to manage due to a high seizure frequency (e.g., episodes of cluster seizures).
Can a Supplement and Diet Help to Treat Epilepsy?
It is important to use a good quality balanced diet in epileptic patients. Food supplements can be used in addition to an anti-epileptic drug as supplements on their own are rarely enough to control epilepsy in dogs or cats. Recently, it has been shown that a diet supplement with MCT (Medium Chain Triglyceride) helped to reduce the frequency of seizures in dogs treated medically for epilepsy. There is to date, no sufficient information to recommend the use of cannabidiol oil in dogs even if there has been some anecdotal report of its use in epileptic patient.
To save this page as a PDF, click the button and make sure “Save as PDF” is selected.
Neurology
Find out more
To assist owners in understanding more about Neurological conditions, investigations and treatment we have put together a range of information sheets to talk you through the some of the more common neurological conditions seen by our Specialists.
