Why Should I bring my pet to Willows for Patent Ductus Arteriosus?
At Willows our Cardiology service is led by a team of recognised, accredited Specialist Veterinary Cardiologists who provide the best possible care and treatment for your pet in our state-of-art hospital. Our team of Cardiologists work closely with the Specialist Imaging team, as well as our Specialist Anaesthetists and 24-hour veterinary and nursing staff, all of whom help to optimise the potential for our patients to make a full and uneventful recovery.
What is Patent Ductus Arteriosus?
Patent Ductus Ateriosus, or PDA, is a congenital heart defect where the ductus ateriosus, a small blood vessel within the heart, fails to close properly after birth which can lead to congestive heart failure.
What are the Most Common causes of Patent Ductus Arteriosus?
PDA is a congenital heart condition, meaning that some animals are born with the condition. It is one of the most common congenital heart conditions seen in young animals. It is more common in some breeds including the Cavalier, Bichon, Chihuahua, Cocker Spaniel and German Shepherd dogs. Females are more commonly affected than males.
What are the signs of Patent Ductus Arteriosus?
Your pet will typically have a murmur diagnosed as a puppy, although sometimes the PDA is not detected until they are much older and they may show signs of breathlessness and coughing.
How is Patent Ductus Arteriosus it diagnosed?
Before recommending PDA occlusion, a thorough ultrasound scan (and sometimes chest x-rays) by a Specialist Cardiologist is necessary to check for signs of heart enlargement or congestion. This also enables the cardiologist to assess the degree to which heart function is reduced and to measure the size of the PDA in order to select the size of occluder required. Additionally, it also provides an opportunity to double check for any other concurrent defects.
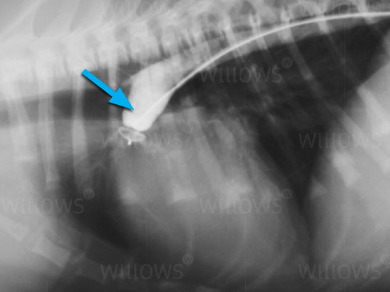
Fig 1:
There is no contrast (‘dye’) escaping past the ACDO which indicates that it is in a good position and providing complete closure.
Fig 2:
Once the first test has confirmed the ACDO (arrowed) is in a good position, it is then released from the delivery catheter.
What Treatments Available for Patent Ductus Arteriosus?
Virtually all PDAs should be closed and the most preferred method of choice is a minimally invasive technique. PDA closure involves passing catheters via the artery in the hind leg (‘keyhole’ surgery) and ‘plugging’ the PDA with an occlusive device (Amplatz Canine Duct Occluder) to stop flow through it. This device has been specifically designed for use in dogs and is the latest device currently used for PDA closure. Measuring the diameter of the duct accurately is important in selecting the correct size of device to close the defect properly.
At Willows the success rate of this has been very high and the hospitalisation time only involves an overnight stay following the procedure, pets experience only minimal pain and much lower side effects compared to traditional surgery.
What Treatments Available for Patent Ductus Arteriosus?
Closure of the PDA by a catheter-based technique is a highly successful and worthwhile procedure. The prognosis is excellent with a normal life expectancy, when there is no heart enlargement or evidence of congestive failure. However, if there is already heart enlargement or lung congestion then a return to normal heart function is not always seen and whilst heart failure is often slowed, in some badly affected dogs it does still progress.
Long term management
A follow-up scan by a cardiologist six to twelve months following surgery is important. This is to check for the presence of residual flow, assess heart size and function, and ensure that heart strength is good. Willows is one of the few specialist centres in the UK to regularly perform PDA closure. It is the busiest minimally invasive cardiac surgery in the UK and with one of the most experienced teams across the UK, Europe and USA. Due to the considerable experience of our Cardiology team we have a high success rate and the long-term outcome in our hands is excellent.
To save this page as a PDF, click the button and make sure “Save as PDF” is selected.
Cardiology
Find out more
To assist owners in understanding more about the conditions related to and treatments available for patients with heart and lung problems, we have put together a range of information sheets to talk you through the some of the more common cardiology conditions seen by our Specialists.
