Why Should I Bring my Pet to Willows for an MRI Scan?
Willows is one of Europe’s leading small animal referral centres. Our state-of-the-art hospital is led by internationally renowned Specialists who are committed to providing the highest standards of veterinary care. Willows has some of the most advanced MRI scanning equipment available in Veterinary facilities in the UK, this combined with an imaging department staffed by a highly experienced team of accredited, recognised Specialists makes for an unsurpassed diagnostic imaging service.
The facility and the staff are available 24 hours a day, every day of the year in order to provide the best levels of patient and client care possible.
What is MRI Scanning?
MRI (Magnetic Resonance Imaging) is a diagnostic test used to look at various parts of the body, including the brain, spine, eye sockets, joints and soft tissues. MRI scans are commonly used in people, and are also frequently performed at Willows. Unlike X-rays, MRI uses a magnetic field rather than radiation.
During an MRI scan the patient is placed in a magnetic field which temporarily alters the atoms of hydrogen in the body. As the magnetic field is altered, parts of the hydrogen atoms change their alignment, giving off faint radio waves which are picked up by sensitive, specially designed coils placed around the part of the patient that is being imaged. A powerful computer then analyses the signals that are received by the coils, and this builds up a picture of the parts of the body which are being investigated. Sophisticated changes can be made to the magnetic field and radio frequencies to highlight different tissues and different diseases within the tissues.
An MRI scan is made up of lots of images which are obtained as slices or cross-sections of the patient. These slices allow individual structures to be imaged without having to look at them through other structures that might get in the way (this superimposition of structures is a drawback of conventional X-rays or radiographs). The direction of the slices can be changed to give the best information about any particular structure.
Different scanners have different strengths of magnetic field, the MRI scanner at Willows has a strong magnetic field (1.5 tesla- a so-called ‘high field’ scanner) which helps to give good quality images, assisting our Specialists in making a diagnosis, furthermore it allows the scans to be obtained relatively quickly.
Whilst the high field scanner enables scans to be completed more quickly than low field scanners, each of the multiple sequences (components of the scan) that must be performed take approximately five minutes, for which the patient must remain completely still throughout the examination. As a result, MRI scans are performed under general anaesthesia (unlike the situation in humans). As the main part of an MRI scanner is a large magnet, special ‘MRI-compatible’ non-magnetic anaesthetic monitoring equipment (that shows the patient’s blood pressure, breathing and blood oxygen levels etc.) must be used.
MRI is a diagnostic imaging technique which provides superb detail and contrast in soft tissues (as opposed to bones). As the magnetic field is not interfered with by surrounding air or bone, exquisite detail can be seen in areas not easily imaged in any other way, specifically the brain and spinal cord (the nerves that run from the brain inside the spine).
Brain
MRI scan of the brain (arrow), showing the detail which can be seen – in this scan the cross section of the brain seen is viewed from the side
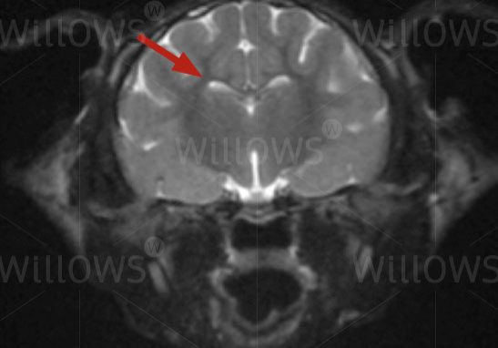
MRI scan of the brain (arrow) – this view is a cross-section seen from the back
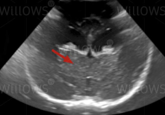
Ultrasound scan of the brain (arrow) through the soft spot on a skull in an infant– the detail seen is very limited compared to the MRI scan. This view is a cross-section seen from the back
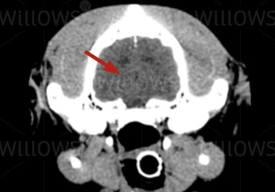
CT scan of a brain (arrow), again showing much less detail than the MRI scan. This view is a cross-section seen from the back (the skull around the brain is shown as bright white)
Spinal Cord
Traditionally conventional radiography (X-ray) has been used to look at the spinal cord. Conventional X-rays are very limited in their ability to show the spinal cord, so a technique called myelography can be used to improve the information that is obtained. Myelography involves injecting a contrast agent which shows up on X-rays around the spinal cord, to try to highlight any compression (squashing) or swelling of the cord. Myelography is not without risk, as the contrast agent has to be injected very precisely around the spinal cord to avoid damage and, in addition, some animals can suffer adverse reactions to having the contrast injected e.g. some patients may have fits after myelography.
CT shows up the bones of the spine very well, however it provides only limited information about the nerves of the spinal cord itself. The same contrast that is used in an X-ray myelogram can also be injected around the spinal cord when a CT scan is performed. This provides much more information compared with conventional x-ray myelography, but the risks associated with injecting contrast agent around the spinal cord remain.
In comparison, MRI provides superb detail of the spinal cord and surrounding soft tissues in a safe, non-invasive fashion.
A normal X-ray of the spine – the bones are clearly visible, but the area of the spinal cord (arrow) shows no soft tissue detail
A myelogram of the spine showing contrast agent, seen as white on the X-ray (arrow) injected around the spinal cord
CT scan of the spine showing a cross section through a vertebra (seen as white) with the spinal cord (arrowed) in the middle of the bone
CT myelogram with dye (seen as white) injected around the spinal cord (arrows)
MRI image of the spine showing abnormal material (a ‘slipped disc’ – blue arrow) next to the spinal cord (red arrow), with no need for dye injection
MRI scan of the spinal cord (this time in a slice viewed from above), showing slipped disc material (blue arrows) bulging out and pressing against the spinal cord (red arrows), with no need for dye injection
To save this page as a PDF, click the button and make sure “Save as PDF” is selected.
Diagnostic Imaging
Find out more
To assist owners in understanding more about Diagnostic Imaging, we have put together a range of information sheets to talk you through the some of the main areas forms of Diagnostic Imaging at Willows.
