Why should I bring my pet to Willows for Malassezia?
Willows is one of Europe’s leading small animal referral centres. Our state-of-the-art hospital is led by internationally renowned Specialists who are committed to providing the highest standards of veterinary care. The Dermatology service at Willows is led by Dr Richard Harvey BVSc DVD DipECVD PhD FRSB FRCVS, who is very experienced in diagnosing patients with malassezia dermatitis.
Malassezia dermatitis is a common problem, especially in dogs, and it can usually be diagnosed easily in a consultation with quick and painless samples; owners can see the analysis of these samples on a computer screen in real time.
What is Malassezia Dermatitis?
Malassezia is a type of yeast that colonises the surface layers of the skin in healthy dogs and cats. It has a mutually beneficial relationship with the many species of bacteria that also colonise the skin surface. The most common species found on dogs and cats is Malassezia pachydermatis, and this is commonly found on the skin, in the ear canals and on the mucosal surfaces (oral, anal, vaginal). For the vast majority of animals, these yeast organisms cause no harm. However, when numbers multiply, inflammation of the skin can result in dermatitis.
What Causes Malassezia Dermatitis?
There are a number of theories for why normally harmless yeast results in skin disease (dermatitis). Increased humidity is likely to be involved, as Malassezia dermatitis is more common in humid climates and in certain anatomical locations such as the ear canals and skin folds. Increased amounts of nutrients and growth factors for the yeasts are also probably involved, as animals with underlying scaly and greasy skin disorders, hormonal disease and allergic skin disease are more likely to suffer from the problem. Additionally, some breeds of dog seem particularly susceptible to Malassezia dermatitis so genetics could also have a part to play. Breeds such as Bassett hounds, American Cocker Spaniels, Boxers and West Highland White Terriers all seem to be at higher risk for the disease. In cats, the Devon Rex breed seems particularly susceptible.
How is Malassezia Dermatitis Diagnosed?
A superficial skin infection can be suspected from clinical examination. The disease usually presents with itchy, scaly and inflamed skin at sites such as the lips, ear canals, neck, armpits, between the toes and in the skin folds around the face (Fig 1). Many dogs experience greasy skin with an offensive and distinctive odour. When dermatitis has been present for some time, the skin becomes thickened and frequently darkens due to excessive pigmentation. Malassezia infection can also result in a reddish-brown discolouration of the claws.
Malassezia dermatitis is an uncommon disease in cats. When present, it frequently causes itchy, scaly and inflamed skin in the ear canals, facial skin folds, claws and chin. In some cases, it can present with a generalised greasy and scaly dermatitis that is often secondary to serious internal disease. Cats with this presentation should undergo extensive investigations to look for an underlying cause.
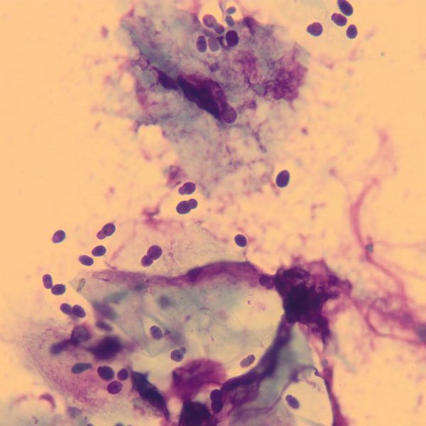
The most useful diagnostic test involves taking a swab or sticky tape sample (tape impression) from the skin for staining and examination under a microscope. This allows examination of the material from the skin surface and assessment of the numbers of microbes on the skin. As Malassezia organisms are present in normal healthy animals, finding low numbers or occasional yeast is not significant. However, in cases of Malassezia dermatitis, yeast can be present in their thousands, and are often associated with inflammatory cells. Malassezia appear as peanut-shaped structures under the microscope and are usually purple/blue in colour due to the staining used for examination (Fig 2).
Fig 1: A dog with Malassezia dermatitis on the neck and forelimbs
What Treatments are Available for Malassezia Dermatitis?
Treatment of Malassezia dermatitis aims to lower the numbers of yeast down to normal levels again. It is also vital to address any underlying diseases that might have contributed to yeast numbers rising. Topical products are the treatments of choice for Malassezia dermatitis. Anti-fungal shampoos are the mainstay of treatment and are usually very effective. When shampooing is not possible, anti-fungal wipes, rinses and creams can be effective. Anti-fungal medications are also common components of medicated ear drops to use for dogs and cats with Malassezia infections in their ears. In rare cases, it may be necessary to use oral medication to treat Malassezia dermatitis. These drugs are not licensed in the UK so should be reserved for cases not responding to other treatments. Recurrance of the problem is very common unless the underlying trigger has been identified and corrected.
Fig 2: Peanut-shaped Malassezia yeasts seen through a microscope in a case of Malassezia dermatitis
What Can I Expect if my Pet is Diagnosed with Malassezia Dermatitis?
Malassezia dermatitis is not a serious problem and can usually be treated effectively. In order to ensure the problem does not return, it is vital to identify and correct the underlying trigger. The most common trigger in dogs is allergic skin disease, and this requires long term management.
To save this page as a PDF, click the button and make sure “Save as PDF” is selected.
Dermatology
Find out more
To assist owners whose pets have skin and ear conditions, we have put together a range of information pages to talk you through some of the more common dermatology conditions seen by our Specialist team.
