Romeo, an adorable one year old Cocker Spaniel, was presented to the primary team with a non-painful swelling in his neck. He was normally a very lively and otherwise fit and healthy young dog. Will Robinson, Primary Veterinary Surgeon, discussed with Romeo’s owners the possible reasons for a lump in his neck, the most likely cause being a salivary mucocele or less likely, an abscess or tumour.
Most dogs have four pairs of salivary glands each with a duct that joins their mouth (oral cavity) with the salivary gland itself. Sometimes these glands/ducts can be damaged by trauma which causes an accumulation of saliva under the skin. These are called salivary mucoceles. They can also occur due to salivary stones (sialoliths), foreign bodies or cancer but, in many of these cases the cause is not known.
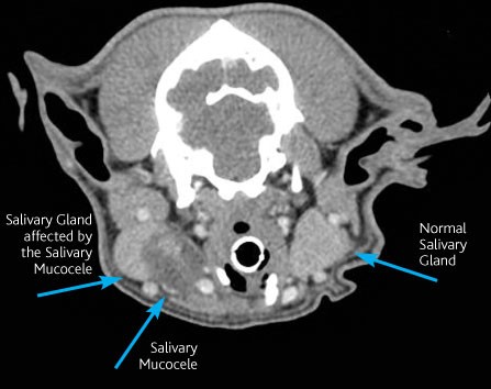
Romeo had a CT scan of his head and neck to highlight which tissue the swelling was associated with. He also had a needle biopsy of the lump whilst he was sedated. The CT scan showed a close association of the swelling to one of his salivary glands and when the needle sample was performed, a large amount of saliva was obtained. This confirmed the diagnosis of a salivary mucocele.
The best treatment for this condition is surgical removal of the affected salivary gland or glands and the associated ducts. Non-surgical management by making an incision into the mucocele allowing drainage or draining the swelling with a needle is not recommended, as it will often reoccur.
Will performed Romeo’s delicate surgery with Chris Shales, one of Willows’ Specialist Soft Tissue Surgeons and we are very pleased to report that he recovered really well and is back to his old self with no sign of his swelling recurring.

