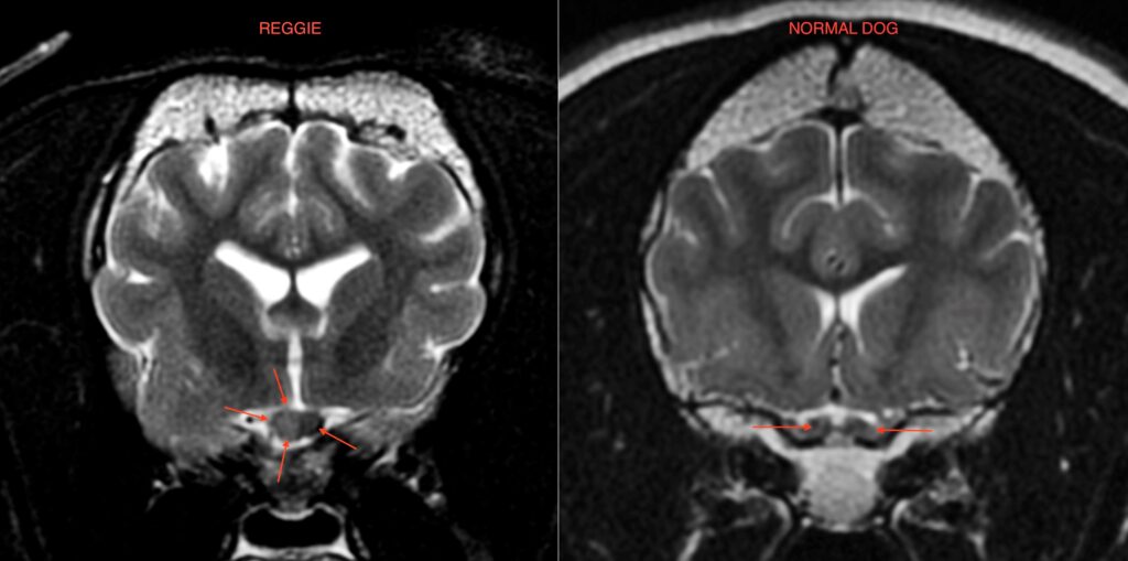
Seven-month-old Reggie came to visit our Ophthalmology Team with a history of sudden onset bilateral blindness. He was understandably anxious and quiet when he first arrived. After a full ophthalmic examination, Bilateral Optic Neuritis (a condition where the optic nerve becomes inflamed) was suspected. Magnetic resonance imaging (MRI) of the brain confirmed the diagnosis. Infectious diseases were ruled out and a CSF (cerebrospinal fluid) sample confirmed an inflammatory process.
Systemic treatment with steroids and a chemotherapy drug, cytarabine, was started and after 48 hours, Reggie had regained his sight.
Three weeks after his initial presentation to us, Reggie was a completely different puppy – bright, playful, excited to see us and enjoying many cuddles in the consult room. We are thrilled with Reggie’s amazing recovery.



