Every summer many different grasses will shed barb-like seeds that can stick to the coat of an animal’s body and range in size from a couple of centimetres to only a few millimetres. In some cases, the dart shaped seeds will burrow into the body.
What are the signs that my pet may have been affected by grass seed?
Head shaking: The seeds can enter the ears often causing a sudden onset of head shaking on a walk. Sometimes the seeds will get caught in the hair around the ear and then slowly migrate into the ear canal at a later date causing intense irritation and infection to develop.
Sneezing: Seeds can be inhaled into the nose resulting in a sudden onset of sneezing and pawing at the nose.
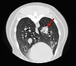
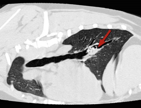
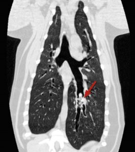
Coughing: Occasionally, seeds may be inhaled into the lungs and result in a cough that fails to be resolved with antibiotics.
Sore eyes: Seeds can sometimes lodge in the corner of the eye, between the third eye lid and the surface of the eye. This causes intense pain and can result in an ulcer on the surface of the eye. The eye may water and appear sore and the dog will hold the eye closed, blink repeatedly and may rub the eye. The seeds can even end up tracking into the tear ducts.
Foot licking: Sometimes seeds can lodge in the hair between the toes. If the seeds are not removed, they will migrate under the skin and this may result in a small abscess in the form of a red lump between the toes, at which the animal will lick. In some cases the seeds can start to migrate up the leg, under the skin.
Swelling in the neck or mouth: In some patients that have removed seeds from their coat through grooming, the seeds may lodge in the mouth between the teeth or may be swallowed and migrate into the tissues around the throat and neck causing an abscess to form.
Why should grass seeds be removed?
It is important to remove seeds, not only because they can cause a lot irritation and pain to the animal but also because, in some cases, they can migrate internally. Deep migration may lead to infections within the chest cavity (pyothorax) or abdominal cavity (peritonitis), both of which are life-threatening conditions often requiring specialist treatment. They can also migrate to places like the spine, causing severe pain and debilitation.
How is the grass seed removed?
In most simple cases the animal will require a sedation or an anaesthetic for the Vet to remove the seed. However, grass seeds can cause serious life-threatening disease and can require major investigations and surgery – it may not be at all obvious at the outset that the problems that a pet has developed are actually being caused by a grass seed (or in some even more challenging cases, several grass seeds)
Grass seeds in the:
- Ears can generally be relatively readily removed using a long pair of crocodile-type forceps
- Eyes can sometimes be removed gently with forceps under local anaesthetic or sedation. More serious grass seed injuries may require a general anaesthetic and, in some cases, more extensive surgery for corneal ulcers etc.
- Feet will need to be removed by lancing the abscess and exploring the cavity between the toes – these can be tricky to find, particularly if they are small and it is not unusual for several holes to be made in the skin to locate the seed
- Nose can be removed with crocodile forceps if they are easy to reach, but in some cases, e.g. if they have migrated deep into the nostril, they may require the use of a special rigid camera (rhinoscopy) or flexible camera (bronchoscopy) to locate them and flush them out
- Lungs are more complicated and may require specialist investigation and treatment in the form of a CT scan and removal using the flexible bronchoscope. Occasionally these cases may require major surgery to open the chest and remove an entire affected lung lobe
- in the mouth and neck require surgery.
How can I help to prevent problems with grass seeds?
Grass seed problems can be avoided by:
- avoiding walks through fields where seeds are being shed, particularly those with long grass
- checking the underside of the ear flap and hair around the ears and toes daily for seeds, particularly in long haired breeds like spaniels
- regular combing/grooming to help remove seeds
- asking the groomer to clip the hair from the underside of the ear or between the toes during the summer months, remembering to never use scissors because these may inadvertently cut the skin of your dog’s ears or feet.
If you suspect your dog may have a grass seed, then do make an appointment with the vet – the earlier these problems are dealt with, before the seed has had time to migrate around the body, the better it can usually be dealt with. There are many other conditions that can cause similar symptoms to those of grass seeds, so the vet will perform a thorough examination before deciding how best to investigate and treat the problem.
CT scans showing different views of the same dog’s chest with a grass seed lodged in the lungs (the grass seed is arrowed)





